这具标本的主人公名叫哈雷,来自上个世纪早期。在他的展示台下备注这样一段话:这具骨骼的主人在四岁时曾发生骨折,康复后,他的臀部和膝盖开始变得难以动弹。X光发现,他的大腿肌肉上出现大量骨沉积物。随后不久,哈雷被确诊为进行性骨化性纤维发育不良(fibrodysplasia ossificans progressiva,FOP)后,医生对他进行了髋部手术。但是令所有人大为惊骇的是,越是进行手术治疗,哈雷的病情越重,割掉的骨头越多,新生的骨架就生长越多。哈雷晚年配合医生做了很多有创性研究,为罕见病医学存留大量宝贵资料,也正是他的研究,FOP 患者不能开刀、不能活检、不能肌肉注射等治疗禁忌因此被记录下来。今天小编和大家共同走进这一罕见病,了解“石化人”发病率是怎样的,现代医学手段下到底能不能根治?

FOP又称进行性骨化性肌炎 (myositis ossificans progressiva,MOP),是一种结缔组织疾病,俗称“石人综合症”、“珊瑚人”。无特定的性别、种族或地理倾向,是一种以先天性拇趾短小外翻畸形和进行性异位骨化为主要特征的常染色体显性遗传病,发病率为1/2000000~1/1300000。
FOP早期为间歇性发作,后渐由颈部、躯干背侧、肩部发展为肢体的近侧端。该疾病中位生存期为40岁,主要死于膈肌受侵犯后导致的严重感染或多器官衰竭。主要临床表现见下表:

表格来自文献
此外,我国2003年报道过妊娠合并FOP伴子宫畸形的病例,提示临床FOP患儿应注意筛查是否合并先天畸形及软组织良性肿瘤。


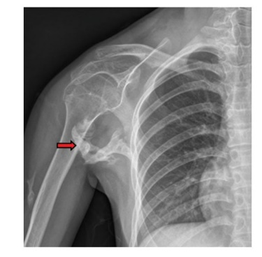
图2 患者右侧肩关节DR,红箭头示右上臂及右侧腋窝条块状高密度影,考虑骨化性肌炎改变(图源自文献)

图3 患者胸部及全腹CT平扫、肋骨及肱骨CT三维重建(图源自文献)
a.胸部CT示右侧肱骨后方-肩胛骨的异位骨化;b.腹部CT示S1-2骶椎左后方异位骨化;c.腹部CT示耻骨骨软骨瘤;d.腹部CT示股骨颈骨软骨瘤;e.骨CT三维重建示右肩上臂及腋窝异位骨化
发病机制
FOP的发病机制主要与骨形成蛋白ACVR1有关,发生在约95%的FOP患者中,其中外显子c.617G>A(p.Arg206His)是最常见的突变,从而引起经典的临床表现。2006年Shore等对FOP家系行全基因连锁分析,最先发现了常染色体2q23-24上的ACVR1基因为FOP 致病基因。
诊断标准
主要基于3个标准:
(1)先天性拇趾畸形
(2)渐进性异位骨化
(3)疾病发展过程中有明确的解剖结构改变。
早期进行增强CT或MRI检查可发现异位骨化及解剖结构的改变,有助于本病诊断。此外,本病易与皮肌炎、骨化性肌炎、骨软骨瘤病、肌纤维母细胞瘤等相混淆,因此结合影像及基因诊断有助于降低临床误诊率。
治疗
目前认为FOP的治疗强调早期诊断、预防损伤和康复锻炼。其中包括:
(1)日常生活中避免软组织、肌肉损伤,避免局部刺激。
(2)适当康复治疗来改善肺功能、增强肌肉力量和提升关节活动度,以提高患病后期的生活质量。
(3)药物治疗:
①早期:急性炎症反应时可采用非甾体抗炎药、肥大细胞抑制剂、糖皮质激素、免疫抑制剂等短期对症治疗,但不建议长期、大剂量使用,以免因副反应过强影响患者的依从性;
②纤维增生期可应用抗血管生成药物和内皮生成素抑制剂;
③异位骨化形成期,骨形成蛋白-4的表达异常,常促使软骨形成并逐渐异位钙化造成异位骨化,使用骨形成蛋白-4抑制剂、氨基膦酸盐以及双膦酸盐类药物有一定疗效;
④从ACVR1基因层面考虑,一些在研的新方案包括靶向缺氧诱导因子-1α抑制剂治疗异位骨化,骨形成蛋白-1型受体激酶抑制剂可降低ACVR1q207d表达异位骨化,注射激活素A中和抗体可有效地抑制异位骨化等,均有望最终研制出治疗FOP的高选择性和特异性药物。
例如,Palovarotene 是一种高度选择性的视黄酸受体γ(RAR-γ)激动剂。在 2011 年,该药物成功阻止了石化综合征模型小鼠的异位骨形成。2016 年,研究发现在同样的小鼠模型中,它还能抑制自发性异位骨化,并保持肢体功能。此后不到三年的时间,Palovarotene就获得了 FDA 批准的孤儿药资格、快速通道资格和突破性疗法认定。去年9月,因无法在审查周期内完成该Palovarotene的III期 MOVE (NCT03312634) 临床试验,益普生撤销申请。但在今年8月17日,益普生宣布美国FDA已批准palovarotene上市,用于在FOP患者中降低新骨化组织的产生。适用人群为FOP成人患者,8岁以上的女性儿童患者和10岁以上的男性儿童患者,这是FDA批准首个治疗FOP的药物。
需强调的是,多数措施均只能延缓或减轻病情,并不能有效停止或逆转疾病的进展。但新药的研发和试验仍然给罕见病患者带来了巨大福音,大大提高他们的生活质量,希望未来palovarotene能够在国内以及更多国家上市,造福更多的FOP患者。